ПРИМЕНЕНИЕ БАКТЕРИАЛЬНОЙ ЭНДОКСИЛАНАЗЫ У НЕСУШЕК

Использование ферментов NSP не только снижает антипитательные эффекты некрахмалистых полисахаридов, но также создает побочный пребиотический продукт, который, в свою очередь, превращается в бутират. Это имеет как зоотехническую, так и экономическую выгоду.

 Улучшение показателей, наблюдаемое при использовании гидролизующих ферментов NSP в моногастрических диетах, часто объясняется снижением вязкости кишечника, что улучшает усвояемость питательных веществ.

Однако этот механизм вряд ли будет иметь большое значение в отношении нерастворимых NSP, поскольку они практически не влияют на вязкость кишечника, а скорее вызывают захват питательных веществ, также называемый «эффектом клетки».

Более того, количество доказательств непрямого пребиотического действия определенного типа ксиланазы продолжает расти. Основная идея заключается в том, что частичный гидролиз растворимых и нерастворимых арабиноксиланов до более мелких арабиноксилановых олигосахаридов (AXOS) ускоряет их ферментацию и способствует развитию желаемой микробиоты. Это приводит к выработке важных уровней желаемых КЦЖК и дополнительно улучшает морфологические и гистологические изменения тонкой кишки.

Улучшение здоровья кишечника не только влияет на усвояемость питательных веществ, но также влияет на состав тушки и качество яиц (скорлупы). Плохое качество яичной скорлупы является одной из наиболее важных проблем в птицеводстве, влияющей на экономическую рентабельность производства яиц, а также на выводимость. Мэйб и другие (2003) указали, что треснутая или разбитая скорлупа составляет 80-90% яиц, класс которых обычно понижается.

Одной из основных проблем является снижение качества яичной скорлупы по мере увеличения возраста курицы, поскольку частота появления трещин на яйцах может превышать 20% в конце периода яйцекладки (Nys, 2001). Кроме того, высокая прочность яичной скорлупы на разрыв и отсутствие дефектов скорлупы необходимы для защиты от проникновения в яйцо болезнетворных бактерий.

В прошлом несколько исследований показали влияние бактериальной эндоксиланазы на состав микробиоты. Алиреза и др. (2015) разработали исследование, чтобы раскрыть истинный механизм воздействия на микробиоту кишечника добавления кормовых ферментов.

Бактериальная ксиланаза значительно увеличивала количество бактерий, принадлежащих к IV кластеру Clostridium (продуценты бутирата), общее количество бактерий и генов бутирил-КоА-ацетат-КоА-трансферазы (табл. 1). Помимо влияния на микробиоту, было также явно затронуто морфологическое состояние кишечника, поскольку длина ворсинок и соотношение ворсинок/крипт увеличились на 24 и 42 % соответственно.

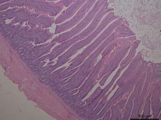
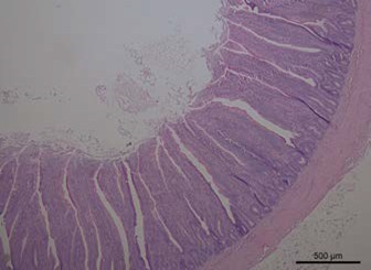
Кукуруза 

Кукуруза+100 гр/т бактериальная эндоксиланаза

 


Результаты позволяют предположить, что тестируемая бактериальная ксиланаза, вероятно, влияет на микробный профиль кишечника за счет сочетания легкоферментируемых фрагментов арабиноксилана и общего изменения состава пищеварения в качестве субстрата для микробиоты кишечника (Alireza et al., 2015).

Содействие здоровью кишечника и потреблению корма может помочь улучшить качество яичной скорлупы. Из-за более низкого pH, вызванного усиленным производством КЦЖК, можно ожидать увеличения биодоступности минералов (Courtin et al., 2008). В то же время повышенное производство бутирата может улучшить всасывающую способность слизистой оболочки кишечника (Van Craeyveld et al., 2008).

Для изучения «побочного» влияния ксиланаз на качество яиц был проведен ряд исследований совместно с IRTA (Испания) и ILVO (Бельгия). Основные результаты этих испытаний суммированы в таблице 2.



Опыт 1

В ходе этого исследования у кур в группе бактериальной эндоксиланазы наблюдалось значительное увеличение яйценоскости (92,4% против 95,3%) по сравнению с группой отрицательного контроля. Также конверсия корма значительно улучшилась на 5,1% для группы ферментов по сравнению с группой отрицательного контроля.

Помимо влияния на продуктивность, также наблюдалось значительное влияние ферментов на яичную скорлупу. Частота разбитых или треснутых яиц снизилась с 2,33 до 1,63 %.

 

Опыт 2

Целью данного исследования было оценить, оказывают ли ферменты NSP различного происхождения одинаковое влияние на продуктивность и параметры яичной скорлупы у коммерческих кур-несушек.

Скармливание курам-несушкам рационов с добавлением коктейля грибковых ферментов (FX) или бактериальной эндоксиланазы (BX) не оказало существенного влияния на их зоотехнические показатели. Однако процент яйценоскости, масса яиц и суточная масса яиц были численно выше у кур-несушек, получавших добавку BX, по сравнению с  курами-несушками, получавшими коктейль из грибковых ферментов FX.  Из-за более высокой яичной массы, а также меньшего потребления корма конверсия корма снизилась на 28 баллов (1,934 против 1,962) (Делези и др., 2014).

Кроме того, обработка также оказала влияние на качество яиц. Яйца от кур, получавших BX, имели значительно более толстую скорлупу и меньше растрескавшихся яиц по сравнению с курами, получавшими FX (Delezie et al., 2014).

Опыт 3

Это испытание было организовано с целью изучения влияния бактериальной эндоксиланазы (ВХ) на продуктивность и качество яичной скорлупы у более старших несушек (возраст 54–74 недели). Добавление в корм ВХ значительно улучшило процент яйценоскости (87,9 против 83,7%) и массу яиц (58,3 против 55,3 г), в результате чего наблюдался значительно лучший коэффициент конверсии корма (1,974 против 2,085).

Частота разбитых и грязных яиц была умеренной и сопоставимой между группами лечения, тогда как частота яиц с мягкой скорлупой была значительно ниже (0,04 против 0,47%) в группе, принимавшей BX. По единицам Хау (HU) было отмечено значительно более высокое значение для кур-несушек, получавших рационы с добавлением BX (90,14 против 87,60).

 Добавление бактериальной эндо-1,4-b-ксиланазы привело к более эффективному производству яиц и увеличению HU по сравнению с диетой отрицательного контроля (Delezie et al. 2015).

На основании этих результатов мы пришли к выводу, что NSP-ферменты не только уменьшают антипитательные эффекты некрахмалистых полисахаридов, но также создают пребиотические арабиноксиланоолигосахариды, которые ферментируются в слепой кишке с образованием высоких уровней бутирата. Преимущества бутирата с точки зрения качества яичной скорлупы широко признаны, поэтому, если использование определенных ферментов NSP может уменьшить или заменить добавление бутирата, цена на корм заметно снизится.

Поскольку качество яичной скорлупы оказывает существенное влияние на рентабельность ферм-несушек, выбор фермента должен осуществляться с учетом не только его влияния на прирост энергии и зоотехнические показатели, но и на качество яиц.